O Blog OrtoAtual foi criado pelo Ortodontista Dr. Welber Curty para pacientes que usam Aparelhos Ortodônticos. Com informações atuais sobre tratamento ortodôntico fixo e móvel, higienização dental, técnicas utilizadas e assuntos ligados a ortodontia. Consultório Odontológico localizado na cidade de Nova Friburgo– RJ.
quinta-feira, 18 de dezembro de 2014
Com 15% dos dentistas do mundo, Brasil tem mercado milionário do sorriso
Reportagem interessante mostrando como os brasileiros cuidam de sua saúde bucal. Acesse o link abaixo para vê-la na integra.
http://zip.net/brqtTP
segunda-feira, 28 de julho de 2014
Exames auxiliam a identificar qual o aparelho ortodôntico mais adequado
http://youtu.be/V_Gm-tSN9B0
O programa Bem Estar informa ao público de forma bem didática indicação e tratamento ortodôntico para quem gostaria de corrigir seu sorriso; visando estética e função dos dentes.
O próximo passo é visitar o seu dentista que lhe indicará o melhor tratamento
O programa Bem Estar informa ao público de forma bem didática indicação e tratamento ortodôntico para quem gostaria de corrigir seu sorriso; visando estética e função dos dentes.
O próximo passo é visitar o seu dentista que lhe indicará o melhor tratamento
quinta-feira, 24 de julho de 2014
sexta-feira, 31 de janeiro de 2014
segunda-feira, 7 de outubro de 2013
segunda-feira, 16 de setembro de 2013
Congresso Ortonews 2013 - São Paulo
Um evento formatado para quem é, e quer ser, sempre Mais. Este evento reuniu mais de 400 especialistas de todo país para debater os mais diversos temas ligados a ortodontia com intuito de aprimorar a técnica e levar o que há de mais moderno para o tratamento clínico dos nossos pacientes.
Dr. Welber e Prof. Celestino Nóbrega
Dr. Welber com Prof. Vellini após ministrar seu curso
Prof. Leopoldino Capelozza e Dr. Welber
Dr. Welber e Prof. Celestino Nóbrega
Dr. Welber com Prof. Vellini após ministrar seu curso
Prof. Leopoldino Capelozza e Dr. Welber
quinta-feira, 22 de novembro de 2012
Sistema Autoligado -Verdade ou Mídia
"Novidades. A evolução conceitual e tecnológica permeia de tempos em tempos a Ortodontia com novidades. Assim foi com os braquetes autoligados já há muitos anos. Prematuro, com muitas inovações era cheio de imperfeições. Demorou, mas o uso persistente de alguns profissionais e o investimento dos fabricantes progressivamente foi lapidando o produto. Costuma ser assim. Novidades úteis acabam se impondo como necessárias."
Prof. Dr. Leopoldino Capelozza Filho
Prof. Dr. Leopoldino Capelozza Filho
Com as palavras sempre sábias do Professor e autor de diversos livros de Ortodontia começo a falar sobre o Aparelho autoligado, que tem se tornado alvo de interesse de muitos pacientes influenciados pela mídia que anuncia um tratamento mais rápido na correção do posicionamento dentário. Por isso vou me ater em colocar trabalhos científicos comparando o aparelho ortodôntico convencional com o autoligado. Primeiro preciso diferenciá- los para que o leitor possa entender o conteúdo do artigo.
Existem vários modelos de aparelhos ortodônticos , entretanto, a principal diferença entre o aparelho autoligado do aparelho convencional; está na forma de prender os arcos nos braquetes, pois não são necessárias as ligaduras elásticas muito conhecidas popularmente como "borrachinhas" coloridas famosas entre os jovens. No autoligado existe uma aleta que abre e fecha para colocação e remoção dos arcos metálicos. Essa forma de prender o arco ao braquete diminiu o atrito entre eles favorencendo o movimento dentário e diminuindo o tempo final de tratamento .Devido a esta situação necessita- se usar menos força sobre o dentes o que também é desejado pelo profissional, pois o alinhamento e nivelamento ocorre de forma mais natural, além disso a "borrachinha" usada no aparelho ortodôntico convencional sofre influência da saliva e alimentos que entram em contato diariamente sofrendo alteração na sua estrutura, perdendo assim seu poder de elasticidade e acaba sendo retentor de placa bacteriana. Por isso a necessidade de consultas ao ortodontista em um intervalo menor de tempo é necessário.
Teoricamente todo ortodontista deveria utilizar esta nova modalidade de aparelhos ortodônticos, entretanto, há poucos estudos que comprovam todas os efeitos desejavéis descrito pelos profissionais que desenvolveram a técnica e as empresas que investiram no seu desenvolvimento.
A seguir vou transcrever alguns estudos realizados para elucidar melhor as comparações feitas:
Teoricamente todo ortodontista deveria utilizar esta nova modalidade de aparelhos ortodônticos, entretanto, há poucos estudos que comprovam todas os efeitos desejavéis descrito pelos profissionais que desenvolveram a técnica e as empresas que investiram no seu desenvolvimento.
A seguir vou transcrever alguns estudos realizados para elucidar melhor as comparações feitas:
"No sistema autoligado, há muitos casos em que o nivelamento é feito sem extração dentária mesmo em situações de grande falta de espaço. Nessas situações clínicas, convencionalmente, não se imaginaria um tratamento sem extrações, por causa dos efeitos que se conhecem de vestibularização dos dentes protrusão dos incisivos, abertura de mordida, entre outros, que, em muitos pacientes não são aceitáveis. Existem apenas 5 formas de obtenção de espaço no arco. Pode- se extrair , desgastar, distalizar, expandir e protruir. Se os métodos de extração, desgaste, e distalização não forem utilizadas, apenas se pode aceitar há expansão e/ ou protrusão. A expansão / protrusão é bem evidente em modelos de gesso e nas fotografias de casos tratados ou em tratamento, porém há poucas, se houver, pesquisas ou estudos que mostrem, efetivamente, o quanto e onde ocorrem a expansão e /ou protrusão dos arcos dentários e inferior. Não há também evidências dos limites alveolares para a expansão e /ou protrusão e quanto isso afeta os ossos alveolares circundantes às raizes dos dentes movimentados."
Sistema Autoligado (teoria e prática)
Dra. Liliana Ávila Maltagliati
Análise da eficiência dos braquetes
autoligáveis e
convencionais na correção do apinhamento
inferior
Efficiency of self-ligating and
conventional brackets
in the correction of mandibular crowding
Henry
V. A. Marques*, Marcio Rodrigues de Almeida**, Ana Cláudia F. C. Conti***,
Renato
Rodrigues de Almeida***, Ricardo Navarro***, Paula Oltramari-Navarro***
RESUMO – Com o objetivo de avaliar a eficiência da correção
do
apinhamento
mandibular, uma amostra de 20 pacientes, que não
foram
submetidos a extrações dentárias ou desgastes interproximais,
foi
dividida em dois grupos (I e II), onde no grupo I, 11 pacientes utilizaram
braquetes
autoligáveis da marca Easy Clip Aditek, e no grupo
II,
nove pacientes utilizaram braquetes convencionais marca Abzil
Lancer
prescrição Capellozza Padrão I. Para as medições do grau de
apinhamento
mandibular foi utilizado um paquímetro digital da marca
Mitotoyo
Digimatic Caliper. O grau de apinhamento mandibular anterior
e
posterior foi mensurado ao início e após seis meses de tratamento.
Teste
t Student foi utilizado para analisar a diferença do alinhamento
anteroinferior
entre os grupos. Após seis meses de tratamento, não
houve
diferença estatisticamente significante entre os grupos autoligável
e
convencional com relação a eficiência no alinhamento inferior,
confirmando-se
que em pacientes que não são submetidos a extrações
dentárias,
a eficiência no alinhamento mandibular independe do tipo
de
braquete.
Unitermos – Ortodontia; Braquetes
autoligáveis; Apinhamento dentário;
Conclusão
Em pacientes que não foram submetidos a extrações dentárias
ou desgastes interproximais e com apinhamento inferior
de grau leve a moderado, o sistema de braquetes autoligáveis
não foi mais efetivo na correção do apinhamento inferior,
comparando-se com o sistema de aparelhos pré-ajustados
convencionais (fixados os fios por meio de ligaduras de aço
inoxidável)
durante os primeiros seis meses de tratamento.
OrtodontiaSPO | 2012;45(4):383-90
Ao meu modo de ver toda a técnica é boa, depende apenas do profissional que a desenvolve. Devemos sim acompanhar os avanços que surgem, entretanto temos que usar bom senso, realizando um bom diagnóstico e plano de tratamento para atingirmos o objetivo procurado que é um sorriso harmônico e saudável estética e funcionalmente pois cada caso é único.
segunda-feira, 22 de outubro de 2012
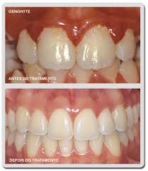
Hiperplasia Gengival
Este é um tema muito interessante e posso dizer que é até comum em usuários de Aparelhos Ortodônticos Fixos, na qual, há um crescimento gengival acompanhado ou não de sangramento.
Hiperplasia Gengival significa o aumento do número de células num órgão ou num tecido, ou seja ,aumento de tamanho.Pode ocorrer devido a anormalidades congênitas, anormalidades hormonais ou pouca higiene oral por muito tempo. Uma afecção preexistente de inflamação gengival predispõe o paciente à hiperplasia. A hiperplasia gengival também pode ser decorrente de medicação prescrita para outras enfermidades. Os três medicamentos mais comuns que podem levar a uma dramática hiperplasia gengival são a fenitoína, os bloqueadores dos canais de cálcio e a ciclosporina.
Como o Blog é voltado para quem usa Aparelhos Ortodônticos para correção de má-oclusão vamos nos ater a explicar a hiperplasia ligado ao uso do aparelho.
O aumento gengival inflamatório crônico é uma sequela comum do tratamento ortodôntico (Bishara et al., 1993;
Clinicamente, a gengiva se apresenta edematosa, com coloração vermelho profundo, frouxa e com tendência a sangramento espontâneo.
Além da inflamação induzida pelo acúmulo de placa bacteriana, essa manifestação pode estar associada também com resposta inflamatória induzida pela corrosão dos aparelhos ortodônticos, principalmente pelo níquel (Gursoy et al.,2007). Armini et al. (2008) relataram não haver diferença na concentração de cromo e cobalto nas células da mucosa oral de paciente com ou sem aparelhos fixos. No entanto, uma concentração significativamente maior de níquel foi encontrada. Nesse caso, o aumento gengival apresenta
uma aparência gengival fibrosa e espessa, sem tendência ao sangramento, diferente da gengiva frágil com margem gengival avermelhada que é vista em lesões gengivais inflamatórias (Zachrisson & Zachrisson, 1972) decorrentes da presença de cálculo e placa bacteriana.
Os aumentos gengivais são tratados por meio de raspagem e alisamento radicular, desde que o tamanho do aumento não interfira com a completa remoção dos depósitos das superfícies dentárias envolvidas (Carranza et al., 2004). Quando os aumentos gengivais incluem um significante componente fibrótico, que não sofre contração após a raspagem e alisamento radicular e coronal ou que é de um tamanho que oculta depósitos nas superfícies dentárias e interfere com o acesso a elas, a remoção cirúrgica constitui o tratamento de escolha. A intervenção cirúrgica no
tratamento de aumento gengival crônico associado a aparelho ortodôntico apresenta resultados previsíveis e estáveis, desde que uma boa higiene bucal seja mantida e um programa de manutenção adequado seja instituído.
A colocação de aparelhos ortodônticos em pacientes com periodonto saudável leva a um aumento no acúmulo de placa bacteriana e inflamação gengival e consequentemente influencia a composição da microbiota subgengival indiretamente em um curto período de tempo após o início do tratamento ortodôntico, porém, essas condições são reversíveis em pacientes com bom padrão de higiene bucal;
segunda-feira, 23 de julho de 2012
Porque o meu Tratamento Ortodôntico está demorando para ser concluído?
A Ortodontia é a especialidade da Odontologia que visa o estudo, prevenção e tratamento dos problemas de crescimento, desenvolvimento e amadurecimento da face, dos arcos dentários e da mordida, ou seja, disfunções dento-faciais, visando o correto posicionamento dentário com relação as bases ósseas (ossos maxilares), portanto é umas das especialidades de mais alto complexidade dentro da odontologia que visa
realizar um bom plano de tratamento para se conseguir um resultado eficaz.
Atualmente com as técnicas avançadas para correção do posicionamento dentário com relação aos ossos maxilares, podemos afirmar que o tempo de tratamento diminuiu consideravelmente, entretanto, devemos levar em consideração a gravidade da má-oclusão do paciente e a colaboração do mesmo com o tratamento. A colaboração a que me refiro está incluída as visitas regulares determinadas de acordo com cada profissional; bom senso durante a alimentação, visando a integridade do Aparelho Ortodôntico; higienização correta dos dentes prevenindo assim inflamações gengivais, cárie, descalcificação do esmalte dentário, afim de evitar atraso na finalização do tratamento.
Estas são algumas causas mais frequentes para o atraso do término do tratamento, entretanto nos deparamos com outra causa que compromete não só o bom andamento do caso, porém com a qualidade da finalização do tratamento ortodôntico que são profissionais não habilitados para o exercício da ortodontia fazendo uso de técnica de baixo nível científico, cobrando mensalidades baratas, as vezes nem cobram o aparelho com intuito de agregar mais pacientes.
Pacientes com pressa de alinhar os dentes muitas vezes não prestam atenção a alguns detalhes como, por exemplo, se informar a respeito do profissional pedindo indicação de outros pacientes já tratados, verificar junto ao conselho de classe se ele possui habilitação para exercer a ortodontia.
Todo tratamento ortodôntico necessita de documentação prévia contendo fotos,modelos de gesso, RX panorâmica da face, telerradiografia de perfil e os traçados cefalométricos para que o profissional possa planejar o tratamento corretamente.
Escolhendo um bom profissional e seguindo todas as suas recomendações posso afirmar que o tempo do tratamento estará dentro do cronograma desenvolvido pelo Ortodontista.
quarta-feira, 25 de abril de 2012
Contenção faz parte do Tratamento Ortodôntico?
Respondendo a pergunta do título acredito que sim, pois vamos falar de uma das fases mais importantes do tratamento ortodôntico que é a contenção dentária, realizada pós-tratamento com objetivo de manter a posição dentária obtida durante o tratamento ortodôntico. Apesar da contenção ser realizada após a finalização do caso devemos orientar muito bem nossos pacientes que a estabilidade do resultado alcançado está intimamente ligado a dar condições dos dentes e todo o sistema na qual faz parte, como ligamentos, músculos, tecidos mole e ossos necessita de tempo para se adaptar a esta nova posição.
Uma parcela dos pacientes tratados ortodonticamente simplesmente a ignora ou utilizar parcialmente não fazendo uso correto da contenção prevista pelo profissional. Esta é uma realidade que compromete o resultado obtido com o tratamento ocorrendo assim a indesejável recidiva.
O tempo de uso da contenção varia de acordo com o caso pois os ortodontistas os avaliam individualmente. Devemos considerar os dentes potencialmente instáveis e devem ser contidos até que haja um equilíbrio com as forças musculares periorais e intra-orais. Sabemos que a maioria das recidivas ocorre nos primeiros seis meses de finalização do caso, por isso oriento a usar a contenção em tempo integral ou o máximo possível. Alguns casos a contenção deverá ser permanente segundo alguns estudos dependendo sempre da avaliação de cada especialista.
Tipos de Contenções:
Contenção Móvel
Placa de Hawley
Geralmente é a contenção mais utilizada, podendo ser usada na arcada superior e/ou inferior, sendo composta por base de resina acrílica que recobre a face lingual dos dentes, ganchos nos dentes posteriores para ajudar a retenção e arco de aço na região vestibular ou labial dos dentes. Possui vantagens como ser facilmente higienizada, não impede o uso do fio dental, deve ser retirada durante a alimentação, não provoca risco de cárie e é durável.
Contenção Fixa
Contenção 3x3
Esta contenção é usada na região antero-inferior na face lingual dos dentes. Geralmente é fixada nos seis dentes de canino direito à canino esquerdo. Apresenta- se de duas formas que são: contenção 3x3 higiênica e a contenção 3x3 convencional.
Uma parcela dos pacientes tratados ortodonticamente simplesmente a ignora ou utilizar parcialmente não fazendo uso correto da contenção prevista pelo profissional. Esta é uma realidade que compromete o resultado obtido com o tratamento ocorrendo assim a indesejável recidiva.
O tempo de uso da contenção varia de acordo com o caso pois os ortodontistas os avaliam individualmente. Devemos considerar os dentes potencialmente instáveis e devem ser contidos até que haja um equilíbrio com as forças musculares periorais e intra-orais. Sabemos que a maioria das recidivas ocorre nos primeiros seis meses de finalização do caso, por isso oriento a usar a contenção em tempo integral ou o máximo possível. Alguns casos a contenção deverá ser permanente segundo alguns estudos dependendo sempre da avaliação de cada especialista.
Tipos de Contenções:
Contenção Móvel
Placa de Hawley
Geralmente é a contenção mais utilizada, podendo ser usada na arcada superior e/ou inferior, sendo composta por base de resina acrílica que recobre a face lingual dos dentes, ganchos nos dentes posteriores para ajudar a retenção e arco de aço na região vestibular ou labial dos dentes. Possui vantagens como ser facilmente higienizada, não impede o uso do fio dental, deve ser retirada durante a alimentação, não provoca risco de cárie e é durável.
Contenção Fixa
Contenção 3x3
Esta contenção é usada na região antero-inferior na face lingual dos dentes. Geralmente é fixada nos seis dentes de canino direito à canino esquerdo. Apresenta- se de duas formas que são: contenção 3x3 higiênica e a contenção 3x3 convencional.
Existem outras formas de se fazer contenção pós tratamento ortodôntico, ficando a critério do profissional, entretanto, as comentadas acima são utilizadas mais rotineiramente
segunda-feira, 26 de março de 2012
Ausência dos Incisivos Laterais superiores: como tratar?
Abordaremos hoje um assunto de grande importância impactando funcionalmente e estéticamente na arcada dentário de um indivíduo. A ausência ou agenesia dos dentes incisivos laterais superiores pode ser uni ou bilateral e é notada pelo cirurgião-dentista que possui o conhecimento da cronologia dentária na troca da dentição decídua (dentes de leite) para a dentição permanente ou pelos pais que desconfiam da demora de irrução do dente e leva a criança ao consultório dentário para uma avaliação mais criteriosa. Isto resulta em um espaço excessivo na arcada superior causando uma estética indesejável e muitas vezes com dificuldade de pronunciar alguns fonemas.
A etiologia da agenesia ou ausência dentária uni ou bilateral tem característica hereditária, ou seja, herança familiar podendo ser congênita ou adquirida.
Atualmente usamos duas formas de tratamento que consiste em fechar o espaço com Aparelho ortodôntico, colocando o canino no lugar do incisivo lateral ausente e transformando- o anatomicamente em incisivo lateral ou manter o espaço referente ao dente ausente para reabilitação protética. As duas opções são viáveis, entretanto, um planejamento adequado deve ser realizado pois estamos falando de crianças que estão na faixa etária de 8 anos e terão crescimento facial.
Alguns profissionais que optam pelo tratamento protético com realização futura de implantes na área da ausência precisam esperar o término do crescimento facial o que ocorre entre 18- 21 anos. Neste intervalo o espaço é preenchido geralmente com prótese adesivas ligadas aos dentes vizinhos.
O tratamento ortodôntico visando fechar o espaço tem apresentado bons resultados estético e funcional, sendo assim uma conduta menos invasiva para o paciente pois com o avanço das técnicas restauradoras a transformação do canino em incisivo lateral ocorre com bastante naturalidade.
segunda-feira, 6 de fevereiro de 2012
Mini-implante - Ancoragem Esquelética Absoluta
Atualmente a Ortodontia conta com acessórios que vieram facilitar e agilizar o tratamento, dentre eles podemos citar o mini-implante, que é considerado o sistema mais moderno e avançado em ancoragem.
Este dispositivo foi desenvolvido com intuito de servir como ancoragem esquelética auxiliando nos casos em que a ancoragem se torna fator crítico para o sucesso do tratamento ortodôntico, na qual a força inserida nele para movimentar os dentes seria dispersa no osso a que ele está inserido e não causa reações adversas como movimentações indesejadas em outros dentes que não desejamos movimentar.
Este sistema substituiu em grande parte nas indicações o Aparelho Extra-Oral, mais popularmente chamado de "Freio de Burro". Posso citar outros acessórios que o mini-implante pode substituir na técnica ortodôntica Straight Wire ( Arco Reto), que são a barra Trans-Palatina , placa lábio-ativa, Jones Jig, Botão de Nance, etc. Todas de difícil adaptação pelo paciente dificultando na fala, deglutição e higienização.
O mini-implante tem diversas indicações auxiliando a técnica ortodôntica, como intrusão dentária, distalização, mesialização, retração, entre outras. Com este leque de opções podemos realizar o tratamento ortodôntico com maior conforto e em menor tempo.

Higiene Peri-implantar
A orientação de higiene pós-cirúrgica é importante para evitar inflamação peri-implantar, o que pode comprometer a estabilidade futura do mini-implante. Nas primeiras duas semanas, recomenda-se que o paciente higienize o local de inserção do implante com escova periodontal extra-macia embebida em solução ou gel de gluconato de clorexidina 0,12% por 30 segundos, 2 vezes ao dia. A indicação desta escova pós-cirúrgica é importante, pois possui cerdas extremamente macias,dando ao paciente a segurança de higienizar uma área que acabou de ser manipulada cirurgicamente. A partir da terceira semana, a higienização da área do mini-implante e demais regiões deve ser realizada com escova macia e creme dental. Em adição, deve ser recomendado bochecho com colutório anti-séptico à base de triclosan 0,03% por 30 segundos, 3 vezes ao dia, durante todo o período do tratamento, tendo em vista seus comprovados efeitos anti-séptico e anti-inflamatório.Um controle profissional da saúde peri-implantar deverá ser feito semanalmente no primeiro mês e mensalmente durante todo o tratamento,reforçando a orientação das medidas de controle de biofilme dento-bacteriano.
Este dispositivo foi desenvolvido com intuito de servir como ancoragem esquelética auxiliando nos casos em que a ancoragem se torna fator crítico para o sucesso do tratamento ortodôntico, na qual a força inserida nele para movimentar os dentes seria dispersa no osso a que ele está inserido e não causa reações adversas como movimentações indesejadas em outros dentes que não desejamos movimentar.
Este sistema substituiu em grande parte nas indicações o Aparelho Extra-Oral, mais popularmente chamado de "Freio de Burro". Posso citar outros acessórios que o mini-implante pode substituir na técnica ortodôntica Straight Wire ( Arco Reto), que são a barra Trans-Palatina , placa lábio-ativa, Jones Jig, Botão de Nance, etc. Todas de difícil adaptação pelo paciente dificultando na fala, deglutição e higienização.
O mini-implante tem diversas indicações auxiliando a técnica ortodôntica, como intrusão dentária, distalização, mesialização, retração, entre outras. Com este leque de opções podemos realizar o tratamento ortodôntico com maior conforto e em menor tempo.
A técnica de instalação dos mini-implantes é, geralmente, um procedimento simples, realizado sob anestesia local, por meio de infiltração de pouco menos que 1/4 do tubete anestésico, próximo à área definida como ideal para a instalação dos implantes. É realizada perfuração direta do local da inserção. Segue-se, então, a inserção do mini-implante, que poderá er realizada manualmente ou por meio do contra-ângulo. No caso da utilização de implantes auto-perfurantes não há perfuração com a broca.
Grande parte dos relatos de instabilidade e necessidade de remoção dos mini-implantes, normalmente, está associada à inflamação dos tecidos moles ao redor dos parafusos.Higiene Peri-implantar
A orientação de higiene pós-cirúrgica é importante para evitar inflamação peri-implantar, o que pode comprometer a estabilidade futura do mini-implante. Nas primeiras duas semanas, recomenda-se que o paciente higienize o local de inserção do implante com escova periodontal extra-macia embebida em solução ou gel de gluconato de clorexidina 0,12% por 30 segundos, 2 vezes ao dia. A indicação desta escova pós-cirúrgica é importante, pois possui cerdas extremamente macias,dando ao paciente a segurança de higienizar uma área que acabou de ser manipulada cirurgicamente. A partir da terceira semana, a higienização da área do mini-implante e demais regiões deve ser realizada com escova macia e creme dental. Em adição, deve ser recomendado bochecho com colutório anti-séptico à base de triclosan 0,03% por 30 segundos, 3 vezes ao dia, durante todo o período do tratamento, tendo em vista seus comprovados efeitos anti-séptico e anti-inflamatório.Um controle profissional da saúde peri-implantar deverá ser feito semanalmente no primeiro mês e mensalmente durante todo o tratamento,reforçando a orientação das medidas de controle de biofilme dento-bacteriano.
quinta-feira, 2 de fevereiro de 2012
O que é Apnéia do Sono e Tratamento
O tipo mais comum de apnéia do sono é a obstrutiva. Durante o sono, ar suficiente não consegue ir para os pulmões através da boca e nariz, mesmo que a pessoa tente respirar. Quando isso acontece, a quantidade de oxigênio no sangue pode cair. A respiração normal então começa novamente com o ronco alto.
Quando o sono durante a noite é perturbado, a pessoa pode ficar bastante sonolenta durante o dia com apnéia do sono, a pessoa não tem um sono tranqüilo por que:
* Os rápidos episódios de apnéia ocorrem muitas vezes.
* A pessoa pode ter rápidas quedas de níveis de oxigênio no corpo.
* A pessoa vai do sono profundo para o superficial várias vezes durante a noite, resultando em queda na qualidade do sono.
Pessoas com apnéia do sono freqüentemente têm ronco alto. Porém, nem todas as pessoas que roncam têm apnéia.
Apnéia do sono sem tratamento pode elevar as chances de ter pressão alta, diabetes, acidentes no trânsito , trabalho e até ataque cardíaco e derrame.
A apnéia do sono ocorre quando o ar suficiente não consegue ir até os pulmões quando se está dormindo. Quando a pessoa está acordada, e normalmente durante o sono, os músculos da garganta a mantém aberta e o ar flui até os pulmões. Porém, na apnéia obstrutiva do sono a garganta fecha por períodos curtos de tempo, causando pausas na respiração. Com essas pausas na respiração, o nível de oxigênio no organismo pode cair. Essa situação acontece se ocorrer uma das condições abaixo:
* Os músculos da garganta e língua relaxam mais do que o normal.
* As amídalas e adenóides são grandes.
* A pessoa está acima do peso. Excesso de tecido mole na garganta dificulta mantê-la aberta.
* O formato da cabeça e pescoço resulta em menor espaço para passagem de ar na boca e garganta.
Causas da apnéia do sono:
Apnéia central é um tipo raro de apnéia do sono que acontece quando a área do cérebro que controla a respiração não envia os sinais corretos para os músculos respiratórios. Então não há esforço para respirar por breves períodos. O ronco não é típico na apnéia central.
Tratamento:
O tratamento é definido especificamente em cada caso, pois vai depender dos sintomas e de sua gravidade, e também dos resultados da polissonografia. Existem alternativas não-cirúrgicas e cirúrgicas.
Entre os tratamentos não-cirúrgicos, podemos destacar:
O tratamento é definido especificamente em cada caso, pois vai depender dos sintomas e de sua gravidade, e também dos resultados da polissonografia. Existem alternativas não-cirúrgicas e cirúrgicas.
Entre os tratamentos não-cirúrgicos, podemos destacar:
1) Mudança de Hábito:
Consiste em mudanças dos hábitos de vida, o que pode reduzir significativamente a gravidade da doença. É importante que o médico que acompanha o paciente, saiba que ele é portador da síndrome, de maneira a evitar a prescrição de medicamentos, indutores da ocorrência dos episódios de apnéia. Outro aspecto importante é que essas mudanças dos hábitos de vida não levam à cura da doença, e frequentemente outros tratamentos são necessários.
As medidas recomendadas incluem:
* Perda de peso;
* Evitar o consumo de álcool pelo menos quatro horas antes de ir dormir;
* Evitar medicamentos que favorecem a ocorrência da apnéia;
* Dormir de lado, evitando dormir de barriga para cima;
* Evitar o consumo de refeições pesadas antes de dormir;
* Evitar fumar pelo menos quatro horas antes de ir dormir;
* Evitar ficar sem dormir;
* Procurar manter horários regulares de dormir e acordar;
* Elevar a cabeceira da cama aproximadamente 15-20 cm .
As medidas recomendadas incluem:
* Perda de peso;
* Evitar o consumo de álcool pelo menos quatro horas antes de ir dormir;
* Evitar medicamentos que favorecem a ocorrência da apnéia;
* Dormir de lado, evitando dormir de barriga para cima;
* Evitar o consumo de refeições pesadas antes de dormir;
* Evitar fumar pelo menos quatro horas antes de ir dormir;
* Evitar ficar sem dormir;
* Procurar manter horários regulares de dormir e acordar;
* Elevar a cabeceira da cama aproximadamente 15-20 cm .
Esses dispositivos são representados pela chamada “Ventilação com pressão positiva contínua” (CPAP). Esses aparelhos mantêm uma pressão constante na via aérea, fazendo com que a garganta fique sempre aberta, durante o sono. São utilizados na forma de máscaras que se adaptam ao nariz e à boca. O aparelho deve ser usado sempre que o paciente for dormir, e é bem tolerado pelos pacientes, desde que a máscara adapte-se bem. A melhora do quadro é significativa e rápida.
3) Prótese Dentária:
Funciona protruindo a mandíbula, ou seja, posicionando a mandíbula mais a frente,fazendo com que a língua a siga desobstruindo a passagem de ar durante o sono, evitando que a mesma “caia” e obstrua a garganta.
4) Cirúrgico:
Devido a gravidade da doença e das alterações anatômicas da via aérea superior, a uvulopalatofaringoplastia aparece como principal indicação.
A uvulopalatofaringoplastia é um tipo de cirurgia que corrige anomalias que prejudicam a respiração durante a noite. A técnica remove o excesso de tecido na parte posterior da garganta. Este tecido pode ser o causador do bloqueio das vias respiratórias durante o sono. O procedimento é realizado sob anestesia geral. O paciente passa por internação hospitalar de um ou dois dias.
Também conhecida como cirurgia do ronco, a uvulopalatofaringoplastia é a abordagem cirúrgica mais popular nos casos de apnéia obstrutiva do sono, podendo ser combinada com a cirurgia nasal e amigdalectomia.
A eficiência do resultado cirúrgico é avaliada através da polissonografia,que é realizada no pré e pós-operatório.
Quando há indicação cirurgica:
A uvulopalatofaringoplastia é um tipo de cirurgia que corrige anomalias que prejudicam a respiração durante a noite. A técnica remove o excesso de tecido na parte posterior da garganta. Este tecido pode ser o causador do bloqueio das vias respiratórias durante o sono. O procedimento é realizado sob anestesia geral. O paciente passa por internação hospitalar de um ou dois dias.
Também conhecida como cirurgia do ronco, a uvulopalatofaringoplastia é a abordagem cirúrgica mais popular nos casos de apnéia obstrutiva do sono, podendo ser combinada com a cirurgia nasal e amigdalectomia.
A eficiência do resultado cirúrgico é avaliada através da polissonografia,que é realizada no pré e pós-operatório.
Quando há indicação cirurgica:
quarta-feira, 1 de fevereiro de 2012
Apnéia causa problemas de pressão alta, mostra estudo
Pela primeira vez, um estudo mostra que pessoas com apnéia tem alterações na função dos vasos sanguíneos da mesma forma que aqueles que têm pressão alta.
O problema de reatividade dos vasos, que faz com que eles se fechem mais, aumenta o risco de hipertensão e de problemas cardíacos. A conclusão é de uma pesquisa da Universidade de Birmingham, no Reino Unido, publicada no periódico "Hypertension", da Associação Americana do Coração.
A apnéia é o fechamento das vias aéreas superiores que leva a pausas na respiração durante o sono. Estima-se que um terço da população da cidade de São Paulo tenha o problema.
Segundo o vice-presidente da Sociedade Brasileira de Hipertensão, Decio Mion, já se sabia da relação entre hipertensão e apnéia ""é comum que hipertensos tenham o problema relacionado ao sono, e vice-versa. Mas essa é a primeira vez que um estudo mostra que pessoas com apneia têm as mesmas alterações da reatividade dos vasos presentes em quem é hipertenso.
SAUDÁVEIS
O estudo procurou por mudanças na função dos vasos sanguíneos em 108 pessoas saudáveis. Aqueles com apnéia severa ou moderada e sem pressão alta foram comparados com pacientes hipertensos, mas sem apneia, e com pessoas sem nenhum dos dois problemas. Os pesquisadores analisaram a função dos vasos sanguíneos com exames como o ecocardiograma de contraste (para o coração) e com a injeção de nitroprussiato de sódio, um vasodilatador.
O resultado é que as pessoas com apnéia e as que tinham hipertensão (mas sem apneia) mostraram bombeamento de sangue do coração anormal e reatividade alterada da artéria braquial (que passa pelo braço). Ou seja, sob o mesmo estímulo, os vasos dos participantes com apneia e hipertensão reagem diferentemente dos vasos das pessoas saudáveis, fechando-se mais.
Tanto os pacientes hipertensos como os que tinham apneia do sono tiveram melhora na função do miocárdio e da artéria braquial depois de 26 semanas de tratamento com o CPAP (máscara de ar usada durante o sono para tratar a apnéia). Mion acredita que os achados do estudo podem ter consequências na terapia para a apneia do sono, mas ainda é cedo para dizer se pacientes com apneia terão de usar os mesmos remédios de pacientes hipertensos.
O nefrologista diz que ainda não dá para saber como essas alterações dos pacientes com apnéia se comportarão no futuro, mas é possível que, com o passar do tempo, os vasos fiquem mais endurecidos, aumentando o risco de problemas cardíacos. "Às vezes os pacientes com apnéia negligenciam o problema, mas é importante que saibam que eles podem ter os mesmos problemas da pressão alta", afirma ele.
Fonte: http://www.dentalpress.com.br%20/Folha
O problema de reatividade dos vasos, que faz com que eles se fechem mais, aumenta o risco de hipertensão e de problemas cardíacos. A conclusão é de uma pesquisa da Universidade de Birmingham, no Reino Unido, publicada no periódico "Hypertension", da Associação Americana do Coração.
A apnéia é o fechamento das vias aéreas superiores que leva a pausas na respiração durante o sono. Estima-se que um terço da população da cidade de São Paulo tenha o problema.
Segundo o vice-presidente da Sociedade Brasileira de Hipertensão, Decio Mion, já se sabia da relação entre hipertensão e apnéia ""é comum que hipertensos tenham o problema relacionado ao sono, e vice-versa. Mas essa é a primeira vez que um estudo mostra que pessoas com apneia têm as mesmas alterações da reatividade dos vasos presentes em quem é hipertenso.
SAUDÁVEIS
O estudo procurou por mudanças na função dos vasos sanguíneos em 108 pessoas saudáveis. Aqueles com apnéia severa ou moderada e sem pressão alta foram comparados com pacientes hipertensos, mas sem apneia, e com pessoas sem nenhum dos dois problemas. Os pesquisadores analisaram a função dos vasos sanguíneos com exames como o ecocardiograma de contraste (para o coração) e com a injeção de nitroprussiato de sódio, um vasodilatador.
O resultado é que as pessoas com apnéia e as que tinham hipertensão (mas sem apneia) mostraram bombeamento de sangue do coração anormal e reatividade alterada da artéria braquial (que passa pelo braço). Ou seja, sob o mesmo estímulo, os vasos dos participantes com apneia e hipertensão reagem diferentemente dos vasos das pessoas saudáveis, fechando-se mais.
Tanto os pacientes hipertensos como os que tinham apneia do sono tiveram melhora na função do miocárdio e da artéria braquial depois de 26 semanas de tratamento com o CPAP (máscara de ar usada durante o sono para tratar a apnéia). Mion acredita que os achados do estudo podem ter consequências na terapia para a apneia do sono, mas ainda é cedo para dizer se pacientes com apneia terão de usar os mesmos remédios de pacientes hipertensos.
O nefrologista diz que ainda não dá para saber como essas alterações dos pacientes com apnéia se comportarão no futuro, mas é possível que, com o passar do tempo, os vasos fiquem mais endurecidos, aumentando o risco de problemas cardíacos. "Às vezes os pacientes com apnéia negligenciam o problema, mas é importante que saibam que eles podem ter os mesmos problemas da pressão alta", afirma ele.
Fonte: http://www.dentalpress.com.br%20/Folha
sexta-feira, 20 de janeiro de 2012
Possíveis Causas para correção dentária com Aparelho Fixo ou Móvel
Vamos falar neste espaço sobre as causas que levam os pacientes a usarem Aparelhos móveis ou fixos com intuito de corrigir o posicionamento dos dentes. Entretanto a Ortodontia vai além de somente correção dentária buscando uma harmonia no sistema estomatognático que envolve dentes, músculos, ligamentos, osso, articulação, estética facial e aceitação social. Por isso devemos buscar profissionais especializados que façam perfeito diagnóstico e plano de tratamento correto evitando assim problemas causados por má formação profissional.
Causas Possíveis de má-oclusão Dentária:
• Pela falta de desenvolvimento das arcadas dentárias. Essa falta de desenvolvimento inicia quando a mãe deixa de amamentar seu bebê;
• A amamentação é muito importante para o desenvolvimento dos ossos maxilares e mandibular, dos músculos da face, da posição correta dos dentes, da postura da língua e também para a criança aprender a deglutir, respirar pelo nariz e dicção das palavras corretamente;
• A alimentação pobre em fibras e alimentos duros, não estimula o desenvolvimento das arcadas dentárias;
• Problemas respiratórios como rinites alérgicas , bronquites , sinusites, desvio de septo nasal; amígdalas hipertrofiadas e adenóides , hoje causam respiração bucal mudando a postura da língua que é órgão responsável pelo desenvolvimento dos ossos da maxila. Devido a estes fatores isolados ou associados não cria- se espaço suficiente para comportar todos os dentes e consequentemente ocorre apinhamento dentário, mordida cruzada, entre outros problemas;
• Hereditariedade é um fator genético que, portanto é transmitido de geração para geração podendo perpetuar a má-oclusão;
• Mistura de raças: o brasileiro apresenta uma grande miscigenação de raças. Esta miscigenação contribui para que haja má-oclusão dentária;
• Hábitos deletérios como chupar chupetas, dedo, uso de mamadeiras, dormir com a mão sob o rosto, roer unhas, etc., podem causar deformidades ósseas consequentemente nos dentes.
• Dentes decíduos ou dente de leite extraído, antes da cronologia correta também é um fator que altera o espaço para o dente permanente, causando assim apinhamento (dentes tortos) na arcada dentária permanente.
. Tamanho dentário não compatível com o tamanho da base óssea, ou seja, isso ocorre quando o tamanho dos dentes são muito grande ou pequenos sendo desproporcional com o osso que os irá suportar causando assim apinhamento (dentes tortos) ou diastemas (espaço exagerado entre os dentes)
quinta-feira, 19 de janeiro de 2012
Bruxismo: Sinais e Sintomas
Outro assunto interessante para discurtimos aqui é o ato de ranger dentes à noite, mais conhecido como bruxismo. Atualmente percebo muitos relatos no consultório queixando- se de dores de cabeça , na região frontal e temporal e dentes doloridos de forma localizada ou generalizada que apresentam dificuldade de mastigar alimentos de maior consistência, dentes com mobilidade, desgaste dentário entre outros sinais e sintomas. Avaliando esses pacientes na anamnese percebo na grande maioria dos casos uma grande ansiedade emocional o que culmina neste hábito involuntário para-funcional acompanhado de um ruído notável. Outras causas possíveis do bruxismo noturno está relacionado a respiração nasal obstruída, má-oclusão dentária, fatores psicológicos, etc. O tratamento muitas vezes é multidisciplinar envolvendo odontopediatra, otorrinolaringologista, ortodontista, psicólogo e fisioterapeuta.
Achei interessante passar para vocês o que foi relatado sobre bruxismo no site da colgate.
O que é Bruxismo?
Se você acorda e os músculos da sua mandíbula estão doloridos ou com dor de cabeça, você pode estar sofrendo de bruxismo - um ranger ou um forte apertar dos dentes. O bruxismo pode fazer os dentes ficarem doloridos ou soltos, e, às vezes, partes dos dentes são literalmente desgastados. Eventualmente, o bruxismo pode acarretar a destruição do osso circunvizinho e do tecido da gengiva. O Bruxismo também pode levar a problemas que envolvam a articulação da mandíbula, como síndrome da articulação têmporo-mandibular (ATM).
Como Saber Se Tenho Bruxismo?
Para muitas pessoas, o bruxismo é um hábito inconsciente. Estas pessoas podem nem mesmo perceber que estão fazendo isto, até que alguém comente que elas fazem um horrível som de ranger de dentes enquanto estão dormindo. Para outras pessoas, é quando fazem um exame dental rotineiro e descobrem que seus dentes estão desgastados ou o esmalte de seu dente está rachado.
Outros potenciais sinais de bruxismo incluem dor na face, na cabeça e no pescoço. Seu dentista é capaz de fazer um diagnóstico preciso e determinar se a origem da dor facial é causada por bruxismo.
Como o Bruxismo é Tratado?
O tratamento apropriado dependerá do que está lhe causando o problema. Fazendo perguntas apropriadas e examinando detalhadamente seus dentes, seu dentista pode lhe ajudar a determinar se a fonte potencial de seu bruxismo. Com base no grau dos danos causados a seus dentes e a causa provável, seu dentista poderá sugerir:
- O uso de um dispositivo quando dormir: feito sob encomenda pelo seu dentista e ajustado aos seus dentes, o dispositivo encaixa-se sobre os dentes superiores e os protege de se triturarem com os dentes inferiores. Apesar de o dispositivo ser uma boa maneira para lidar com bruxismo, ele não é uma cura.
- encontrando meios de relaxamento a tensão cotidiana parece ser uma das causas principais do bruxismo, e não importa o que seja que reduza a tensão, pode contribuir - ouvir música, ler um livro, fazer um passeio ou tomar um banho. Procurar alguma terapia auxiliará no aprendizado de meios eficazes de controlar situações estressantes. Adicionalmente, se aplicar uma toalhinha morna e molhada no lado de sua face isto poderá ajudar a relaxar os músculos doloridos devido à pressão exercida.
- Reduzindo a "exposição" de um ou mais dentes para igualar sua mordida: uma mordida anormal, no qual os dentes não se ajustam bem, também pode ser corrigido com restaurações, coroas ou ortodontia.
![]() |
quarta-feira, 18 de janeiro de 2012
Bactéria Bucal X Saúde do Corpo
O Título é: A relação entre a boca e a saúde do corpo
A Johnson & Johnson, em parceria com a empresa americana Anatomical Travelogue, produziu um vídeo com imagens inéditas da cavidade bucal, mostrando, pela primeira vez, o deslocamento das bactérias orais para o resto do organismo. A captação dessas imagens reais, macro e microscópicas, só foi possível graças a uma tecnologia de última geração e câmeras hipersensíveis capazes de demonstrar didaticamente como a saúde oral interfere na saúde global do corpo.
As informações que fundamentam o vídeo foram apuradas por pesquisadores das principais universidades americanas e por estudos epidemiológicos de pesquisadores europeus e brasileiros, que elucidaram dados recentes sobre a relação entre saúde bucal e sistêmica. Esta relação está mobilizando as mais importantes autoridades de saúde no mundo inteiro.
As cenas do vídeo, de três minutos, oferecem imagens que ilustram as evidências destes estudos (que relacionam saúde sistêmica com saúde oral), além de proporcionar momentos de deslumbramento com a visualização de processos e elementos jamais mostrados.
http://www.jnjbrasil.com.br/listerine/default.asp?area=5#param
segunda-feira, 16 de janeiro de 2012
Orientação aos Pacientes que usam Aparelhos Ortodôntico
Após a instalação de qualquer aparelho, seja removível (Ortopedia Funcional) ou fixo (Ortodontia), o paciente deverá passar por um período de adaptação, que varia de acordo com o problema apresentado e com a idade do paciente. Neste período, que pode variar entre 2 a 10 dias, o paciente irá sentir um certa pressão sobre os dentes, o que irá acarretar em pequenas sensibilidades, devido às alterações celulares que ocorrem nas regiões subjacentes à raiz dental e no ligamento periodontal.
No caso de aparelhos fixos, o paciente deve tomar bastante cuidado com os alimentos grudentos, duros, refrigerantes e doces, tais como: amendoim, pipoca, pé de moleque, cenoura crua, azeitonas com caroço, morder balas e pirulitos. Estes alimentos se possível, devem ser evitados, sendo que: carnes com osso, frutas, pães e outros alimentos mais consistentes, devem ser cortados em pedaços pequenos antes de serem levados à boca para mastigação.
A higienização é fundamental para o paciente que está em tratamento ortodôntico, seja com aparelho móvel ou com aparelho fixo.
A higienização consta de:
1. Escovação – no mínimo 4 vezes ao dia, sendo: após o café da manhã, após o almoço, após o jantar e antes de dormir. As escovas escolhidas devem ser própria para uso em aparelhos ortodôntico, na qual apresentam uma canaleta no centro que se adaptam ao formato do braquete. Dê preferência ao uso de escovas dentais extra-macias e sempre com as cerdas retas (quando as cerdas estiverem tortas, você deverá trocar de escova) fazendo movimentos circulares, ora na região do dente próxima à gengiva e ora na ponta dos dentes.
2. Fio dental – é muito importante o uso correto do fio dental pelo menos 3 vezes por dia. Pode- se usar um acessório que auxilia na introdução do fio dental por trás do arco, chamado passafio ou usar um fio próprio chamado Superfloss.
3. Soluções para bochechos – existem vários tipos de colutórios (utilize o indicado pelo profissional, etc.) e estes ajudam na redução da flora bacteriana da boca e facilitam a remoção da placa bacteriana. Pode- se usar também soluções fluoretadas que previnem descalcificação do esmalte dental.
Para melhor entendimento veja os vídeos associados ao blog sobre higienização dentária com aparelhos ortodônticos
Informações Importantes para Pais e Pacientes que usam Aparelhos Ortodônticos e Ortopédicos
COOPERAÇÃO DO PACIENTE
O êxito e duração do tratamento de ortodontia dependem, em grande parte, da colaboração do paciente.
Para que os dentes fiquem em uma posição estética e funcional, o mais perfeito possível, temos que contar com a colaboração do paciente nos seguintes itens:
• HIGIENE: Uma correta escovação dos dentes, bem como o uso correto do fio dental e escovas especiais, é fundamental a fim de terminarmos a correção com todos os dentes íntegros, isentos de cáries, manchas de esmaltes e doenças gengivais.
Cabe ao profissional o direito de interromper o tratamento caso a má higiene esteja causando dano ao paciente.
Todos os pacientes, em tratamento, recebem instruções de higienização no início e durante o tratamento.Alem disso solicito que o mesmo receba atendimento e cuidados de seu clínico.
• FREQUÊNCIA: A freqüência aos dias marcados é fundamental a fim de serem ativados os aparelhos. Essa freqüência varia conforme a necessidade de acordo com a fase do tratamento. O não comparecimento as consultas não exime o paciente de pagar a manutenção mensal. Caso haja falta as consultas por um período de 60 dias sem aviso prévio será considerado abandono de tratamento.
• CUIDADO E CONSERVAÇÃO DOS APARELHOS: É conveniente não comer alimentos duros e fazer uso de chicletes, balas, doces, pipocas, amendoim, torresmo, milho verde, churrasco e outros. Enquanto estiver usando o aparelho fixo, não mastigar diretamente: o pão, frutas, sanduíches, carnes, cenouras cruas, mas sim cortá-las previamente. Caso haja mau uso do aparelho será cobrado taxa extra das peças danificadas.
•COOPERAÇÃO DOS PAIS OU RESPONSÁVEIS: Os pais do paciente são responsáveis pela eficiência de escovação e inspeção clínica periódica do dentista da família, fiscalizando também o uso correto e os hábitos alimentares de seus filhos.
O êxito e duração do tratamento de ortodontia dependem, em grande parte, da colaboração do paciente.
Para que os dentes fiquem em uma posição estética e funcional, o mais perfeito possível, temos que contar com a colaboração do paciente nos seguintes itens:
• HIGIENE: Uma correta escovação dos dentes, bem como o uso correto do fio dental e escovas especiais, é fundamental a fim de terminarmos a correção com todos os dentes íntegros, isentos de cáries, manchas de esmaltes e doenças gengivais.
Cabe ao profissional o direito de interromper o tratamento caso a má higiene esteja causando dano ao paciente.
Todos os pacientes, em tratamento, recebem instruções de higienização no início e durante o tratamento.Alem disso solicito que o mesmo receba atendimento e cuidados de seu clínico.
• FREQUÊNCIA: A freqüência aos dias marcados é fundamental a fim de serem ativados os aparelhos. Essa freqüência varia conforme a necessidade de acordo com a fase do tratamento. O não comparecimento as consultas não exime o paciente de pagar a manutenção mensal. Caso haja falta as consultas por um período de 60 dias sem aviso prévio será considerado abandono de tratamento.
• CUIDADO E CONSERVAÇÃO DOS APARELHOS: É conveniente não comer alimentos duros e fazer uso de chicletes, balas, doces, pipocas, amendoim, torresmo, milho verde, churrasco e outros. Enquanto estiver usando o aparelho fixo, não mastigar diretamente: o pão, frutas, sanduíches, carnes, cenouras cruas, mas sim cortá-las previamente. Caso haja mau uso do aparelho será cobrado taxa extra das peças danificadas.
•COOPERAÇÃO DOS PAIS OU RESPONSÁVEIS: Os pais do paciente são responsáveis pela eficiência de escovação e inspeção clínica periódica do dentista da família, fiscalizando também o uso correto e os hábitos alimentares de seus filhos.
Assinar:
Comentários (Atom)




